□文/图 口腔科 王庆琳
“牙齿不齐、门牙有缝、虎牙”、“龅牙”、“地包天”……孩子牙齿不整齐是个不容忽视的口腔健康问题,同时也会使孩子产生不敢露牙齿等自卑心理问题。随着暑期的到来,青少年的矫牙热潮也逐步逼近。提起牙齿矫正,大多数人可能就会有非常多的疑问。莫慌,广医五院口腔科专家来解答您的疑问。

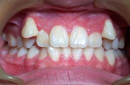
正畸前

正畸中

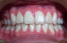
正畸后
为什么都选择暑期矫正?
选择暑期矫正有助于度过适应期。
每年暑假都是牙齿矫正的高峰期,门诊矫正牙齿的人数也会激增。这个时期口腔正畸医生一般建议家长选择在暑期安排孩子做牙齿矫正,主要是因为以下两个原因。
√ 牙齿正畸治疗从开始检查到最终戴上牙套通常需要持续一段时间。如有些患者需要正畸前辅助治疗(确定方案后进行方案所要求的洁牙、补牙、拔牙等工作),那就需要更长的时间。暑期孩子不用上课,时间安排起来比较方便
√ 孩子戴上矫治器需要有一段时间来适应口腔的改变。刚开始可能出现的问题如牙齿酸痛感、口腔异物感、说话进食不习惯等问题。可以让孩子在暑期里有充分的时间和心理来调适。
什么年龄矫正最好?
很多家长最关心的问题是什么时候给孩子做矫正最好。具体情况需要具体分析。一般来说,当孩子的乳牙全部替换为恒牙之后,大概在12岁左右,就可以开始做固定矫治了。而对于有些错牙合畸形可以更早进行,比如说乳前牙反牙合,即地包天等。
正畸的流程有哪些?




