□文/图 口腔科 王庆琳
网上曾流行过一句话:“你和男神女神之间,可能只差了一副牙套!”听到这个说法,大家是否觉得有点夸张?
但在广医五院口腔正畸专家看来,这个说法确有几分道理。对于龅牙、牙齿不齐的人来说,如果能在青少年时期及时采取正确的正畸(民间俗称“箍牙”、“矫牙”)治疗,的确能收到近乎“整容“一般的效果。不仅如此,随着技术的发展,箍牙也并非是青少年的专利。
成人正畸的效果如何?
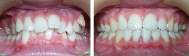
相信很多人都知道,很多明星都是在出道后才开始矫正牙齿。如大家熟知的Angelababy,小S甚至还写了一本《整牙日记》,以及大家的男神孙杨,最近出现在电视中,牙齿也整齐了许多。下面是来自临床诊室成年人的真实病例。
正畸前 正畸后

牙齿矫正不仅为了美
有人问:我不要变美,我不矫牙不行吗?广医五院的正畸专家要告诉您:“不行。”箍牙还真不是单纯为了美,很多情况下,是为了健康。牙齿不齐、咬合畸形会对患者的身心健康造成诸多不良影响。

正畸不想拔牙
“我想箍牙。但我怕痛,不想拔牙。”这是很多患者的想法。在正畸中是否拔牙,需要综合考虑病人牙列结构与上下颌骨的大小是否匹配。如果牙量大于骨量,对于成年患者来说,这很可能要拔牙。
正畸犹如重修房子,在这个问题上,医生是最具有话语权的“建筑设计师”和施工方。在制定治疗方案时,应听从医生的专业意见。正畸的目标是健康、平衡、美观、稳定。患者需要听从正畸医师的意见,在医生明确提出需要拔牙后,如果患者还坚持不拔牙的话,相当于从医生手中拿过了“设计权”,仅仅将医生当作施工者,是一种角色错位。
矫正牙齿的复诊时间
有些人觉得牙齿矫正太麻烦,矫治疗程太长。这是由于牙槽骨的成骨破骨细胞代谢周期至少需要4周时间,通常复诊周期应在4周以上。复诊周期不是越短越好,4-8周都是正常的。



