□文/图 口腔科林小亭
不了解牙齿种植的患者,在刚开始接触种植牙的时候,会以为种下去自己长出来。听到的时候虽然感觉有点好笑,但是不从专业知识上讲,也可以理解为装进去的钉是“长出来的牙根”。
种植牙,全称为人工种植牙,分成三个部分:种植体(人工牙根)、基台(连接体)和牙冠(牙齿)。
种植体是一种高度精密的螺丝构造,它外部的螺纹和微表面结构与牙床骨接触,引导牙床骨细胞生长到种植体表面,以达到种植体与牙床骨充分结合,增强其咀嚼力量及稳定性能的目的。
它有着几乎和自然牙相等的咀嚼力,刺激牙龈运动削弱牙龈萎缩;拥有与真牙一样的稳定性及固位力,不会轻易移动或脱落;也不需要活动牙必备的基托和卡环,没有大面积和基托导致的味觉迟纯与不舒适感;这些优点,一般的假牙是远远达不到的。因此,种植牙被称为牙缺失的最佳修复方案。
很多人因为不了解种植牙的过程而担忧害怕,产生的恐惧心理让自己的口腔状况越来越糟糕,今天,广医五院林小亭博士带大家了解一下种植牙的全过程,让缺牙者事先了解一下,降低种植恐惧。
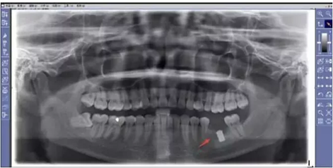
NO.1先要做一个口腔全景片、颌骨CT等医生根据机器成像查看口腔的具体情况,是否有炎症、牙槽骨的密度、吸收状况以及邻牙组织、牙体组织等。

注明:此数据仅作模拟,不是确切种植数据。
如果仅靠双眼大致估测口内数据,是无法得到精准的高度、宽度的,也无法确认骨头吸收多少,是否需要植入骨粉。对后期手术有一定的影响。通过全景片可以“解剖”牙齿精确测量,适宜的种植角度也可确定,健康安全有保障。
NO.2
正式开始种植牙手术在牙槽上制备一个孔,植入人工种植体,缝合,大约一个星期后可以拆线。

注明:此植体只是模拟位置,不做确切种植位置。
NO.3等待骨结合期这个时间的长短因人、因种植系统而异。
一般在3-4个月左右。
NO.4安装愈合基台使种植体穿出牙龈,安装愈合基台,引导软组织成形。在差不多1-2周后,软组织成形后取模。种植牙医生会用修复基台换下愈合基台。
NO.5安装牙冠,完成修复
NO.6全部完成后,每年定期到医院检查2次。



