您知道眼睛也会有寄生虫病吗?眼睛里哪些地方会有寄生虫呢?接下来五院君和您聊一聊。
一种是结膜吸吮线虫病是由结膜吸吮线虫引起。
又称为东方眼虫,多见于亚洲地区,患者多数有异物感、流泪、眼痒、眼红、分泌物增多,大多数寄生虫寄生于人的结膜囊内,极少数寄生虫可寄生于眼内如前房、玻璃体内,导致视力下降。
本病传染源主要是感染本寄生虫的犬,也可见于猫、兔等动物,果蝇是结膜吸吮线虫的传播媒介。本病感染不分年龄、性别,多见于农村,但是随着生活水平提高,城市养宠物狗和猫的人越来越多,城市发病率有增长趋势。
那感染了结膜吸吮线虫如何办呢?
首先当眼部出现不适及时就医,及时在表麻下取出虫体,彻底冲洗眼睛,并点用抗生素滴眼液预防感染。若寄生虫寄生于眼内则需行手术治疗,减少视力损伤。
预防最重要的是做好个人及家养宠物的卫生,排除并治疗家养宠物的结膜吸吮线虫病。
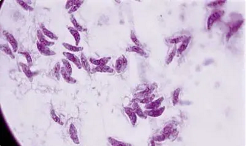
另两种分别是眼弓形虫病和眼蛔虫病。
眼弓形虫病

刚地弓形虫为此病的病原体,它是细胞内寄生。猫是主要的感染源,主要通过皮肤、消化道、胎盘接触寄生虫的滋养体和包囊而传染。弓形虫感染可以分为先天性和后天性感染两类,最常见的是先天性感染,常表现为视网膜脉络膜炎,也可表现为小眼球、眼球震颤、虹睫炎、斜视等。
眼弓蛔虫病

本病的病原体是犬弓蛔虫,主要误食犬弓蛔虫受精卵后感染。弓形虫先是在肠内孵化成蚴,再通过肠黏膜进入血循环,最后侵入眼组织。常导致虹膜睫状体炎、眼内炎、视网膜炎、角膜炎等。
眼弓蛔虫病不仅可造成视力障碍,还会引起全身感染表现,甚至累及中枢神经系统。此类患者一般需忌辛辣刺激性食物及草酸含量高的食物,不吃被弓蛔虫卵污染的食物。治疗比较棘手,药物治疗主要是抗蠕虫药和糖皮质激素治疗;此外通过手术直接将虫体取出。
总之,眼部寄生虫病的最好防治办法就是注意生活和饮食卫生,防止眼睛受寄生虫的感染。

副主任医师,博士,副教授,硕士研究生导师。现任广东省医师协会委员、广东省视光学会理事会理事、广州市眼科学会常委。
从事眼科临床、教学和科研工作20余年,擅长近视眼的激光手术治疗,完成LASIK、LASEK等各种激光屈光手术1万余例, 对白内障、青光眼等疾病的诊治也有丰富的临床经验,成功实施白内障微小切口超声乳化手术5000余例。2010年遴选为广东省“千百十”工程培养对象,2015—2016年留学于美国密歇根大学Kellogg眼科中心(美国眼科排名前十位),从事飞秒激光角膜屈光手术及飞秒激光白内障手术的研修工作。目前,还同时担任《中华现代眼耳鼻喉科杂志》的编委以及《国际眼科杂志》和《实用医学杂志》等杂志审稿专家。
出诊时间:周一、周三上午

广东省眼健康协会白内障屈光专业委员会常务委员、广东省医师协会眼科医师分会角膜与眼表疾病专业委员会委员,从事眼科临床、科研及教学工作十余年,临床经验丰富,熟悉各种眼病的诊治,擅长各种角膜屈光手术、屈光白内障手术、白内障手术、抗青光眼手术、各种眼表手术及眼外伤手术;对儿童屈光不正及弱视诊疗、婴幼儿泪道阻塞等方面有丰富的临床经验。
出诊时间:周一、周二上午

眼科临床诊治经验丰富,擅长白内障、青光眼、眼外伤、干眼症、葡萄膜炎及糖网、老年黄斑病变、视网膜静脉阻塞等眼科病的诊治。在中西医结合治疗眼底病方面有较深入研究。
出诊时间:周二、四上午

擅长白内障超声乳化+人工晶体植入术,青光眼小梁切除术,小切口白内障,翼状胬肉切除联合自体角膜缘干细胞移植术、上睑下垂矫正术、重睑成形术、泪小管吻合术、硅胶管逆行植入术、玻璃体内注射治疗黄斑区病变等手术。
出诊时间:周四上午



