当体检报告赫然出现“肺结节”字样
您是否感到手足无措?
面对这个微小阴影
究竟应该随访观察还是及时干预?
不必焦虑
广医五院推出肺小结节MDT门诊
多学科联合诊疗
以“一站式”精准诊疗服务为您拨开迷雾

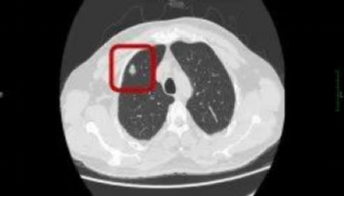
近日,广医五院肺小结节MDT门诊接诊了一位因体检发现右上肺结节的中年男性,朱先生因结节性质不明陷入焦虑,经多方辗转后,选择广医五院肺小结节MDT门诊寻求专业帮助。
接诊后,肺小结节MDT门诊迅速启动多学科协作机制,由胸外科、医学影像科、呼吸与危重症医学科专家组成会诊团队。专家团队通过详细分析患者CT影像特征、病史及临床数据,一致判定该结节为高危结节,建议行微创手术治疗。朱先生充分信任团队,积极配合完成术前评估并顺利手术。术后病理结果证实为浸润性腺癌(cT1bN0M0),属早期肺癌,与专家团队术前诊断高度吻合。因发现及时、处置得当,患者术后无需辅助治疗,仅需定期随访即可。该病例的成功救治,印证了“早发现、早诊治”对肺结节管理的关键作用。


随着大家健康意识的提高及CT检查的普及,肺部结节的检出率越来越高,当患者手持CT报告单提示肺部结节,该如何正确选择高效的就诊方式呢?针对这一问题,广医五院于2024年10月成立肺小结节MDT门诊,为广大患者一站式解决肺结节难题。
01 什么是肺小结节MDT门诊?
肺小结节MDT门诊是一种多学科联合诊疗模式,由呼吸与危重症医学科、胸外科、医学影像科等多科室专家组成专业团队。患者只需挂一次号,就能在门诊一次性见到多位专家,共同为肺结节问题进行综合评估和精准诊断。
02 为什么选择肺结节MDT门诊?
专业全面
汇聚多领域资深专家,打破传统单科诊疗局限,实现各学科优势互补,为患者提供全方位、个体化的诊疗方案。
精准高效
引入先进诊疗技术,如低剂量薄层螺旋CT筛查、影像科人工智能肺结节分析、三维靶重建等,精准判断肺结节性质。
节省时间
患者无需在不同科室之间来回奔波,一站式完成从诊断到治疗方案制定的全过程。
优化体验
患者和家属有机会参与MDT会诊,与专家面对面沟通,解决疑问,增进医患信任。
03 就诊流程
预 约
打开“广医五院”公众号-点击“患者服务”-点击“预约挂号”- 选择“肺小结节MDT门诊”
Tip 01

Tip 02

Tip 03

患者预约缴费后,MDT秘书会主动联系患者,协助安排会诊时间。
会 诊
患者按预约时间携带相关资料到MDT诊室,专家团队共同讨论病情,制定诊疗方案。
04 门诊时间与地点
时 间
每周四下午14:30
地 点
3号楼12楼MDT诊室/影像科会议室
广医五院肺小结节MDT门诊以规范化流程、多学科协作,帮助患者科学应对肺结节问题,让我们携手守护每一次呼吸的健康,让清晰诊断驱散未知阴霾。
肺小结节MDT门诊团队专家





