惊心动魄:外伤引爆“血袋”危机
一场突如其来的车祸,让25岁的小朱在生死边缘挣扎。剧烈的撞击导致他的脾脏破裂大出血,1500ml血液迅速涌入腹腔,生命危在旦夕!
在广州医科大学附属第五医院肝胆胰外科主任郑志鹏的带领下,一支专业的医疗团队与时间展开生死竞速,运用精湛的腹腔镜微创技术,不仅成功止血、挽救生命,更奇迹般地保住了小朱至关重要的脾脏功能。
争分夺秒术前准备
2025年5月的一个深夜,刺耳的救护车鸣笛划破宁静。浑身是血、生命体征微弱的小朱被紧急送至我院。车祸导致他脾脏破裂、失血性休克,血压几近测不到,死神已在步步紧。
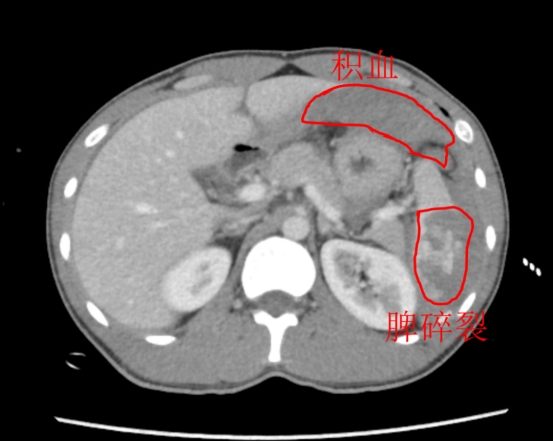
值班医生立即采取措施:抽血、建立多重静脉通道、紧急备血、推入CT室……当增强CT报告呈现在眼前时,急诊增强CT报告:脾破裂;脾周、肝周及腹盆腔大量积血,AAST分级为Ⅳ级,是极其严重的脾破裂。

肝胆胰外科主任郑志鹏迅速响应,紧急组织科内讨论,团队一致认定:目前患者脾破裂 (Ⅳ级) 严重,同时存在失血性休克,需尽快急诊手术干预,在取得患者家属知情同意后,通知手术室、麻醉科团队准备急诊手术。
精湛技艺“精准拆弹”
腹腔镜镜头下展现的是一片“血海”:脾脏下极严重破裂,鲜血仍在汩汩涌出。巨大的出血量和有限的操作空间,考验着术者的沉着与技艺。
郑主任全神贯注,灵巧操作器械:快速控制脾门血管,精准游离脾下极区域,稳准结扎切断供应下极的动静脉……动作如行云流水,紧张却井然有序。破碎的脾脏下极被小心切除,大量积血被彻底清理干净。
最终,在手术室、麻醉科、护理团队的完美配合下,这场惊心动魄的腹腔镜“抢脾”手术顺利完成。失血止住了!生命保住了!健康的脾脏主体也被奇迹般地挽救了!

精心护理促进康复
术后护士长陈小艳带领肝胆胰外科护理团队为小朱先生定制个性化加速康复方案,逐步恢复饮食,全程精心贴心为患者做好优质护理服务,医护人员鼓励并指导他早期下床活动,他在术后第1天就开始尝试下地行走。
这份精心护理带来了显著效果:术后仅仅第7天,小朱先生便全面康复出院。出院时,他和家人满怀喜悦与感激之情,亲笔写下感谢信表达谢意。“肚子上就几个小眼,脾脏还留着,真是捡回一条命!” 小朱先生回想起这段经历,仍然心有余悸又无比庆幸。

脾外伤不是皮外伤!
郑志鹏主任介绍,脾是腹腔脏器中最容易受损的器官之一,血管非常丰富,一旦破裂,极有可能因大量出血而迅速发生休克,抢救不及时可致死亡。症状包括左上腹疼痛(可放射至左肩部),面色苍白、出冷汗、脉搏加快、血压下降等休克症状。

目前国际通用的美国创伤外科学会(AAST)分级将脾破裂从轻到重分为I至III级,I至III级为包膜下血肿。III级以上属重度损伤,需紧急干预。
IV级为25%以上脾组织缺血,或活动性出血;V级为脾脏碎裂或脾蒂血管损伤,全脾血供中断。
郑志鹏主任指出:
脾外伤治疗原则是“抢救生命第一,保留脾脏第二”,既要抢救生命又要保留脾脏,同时减少创伤,可选择腹腔镜脾部分切除术,但手术难度大,依赖于术者的技术水平、精准的术前规划及多学科协作。
腹腔镜脾部分切除术的难点主要集中在解剖复杂性与技术要求高两方面。该术式对外科医生的腹腔镜操作经验及团队协作能力要求极高。
1.脾脏脆弱且血管丰富,毗邻多个器官,术中易引发大出血。
2.手术操作空间小,需精准界定切除范围并保留至少30%的健康脾组织以维持免疫功能。
腹腔镜脾部分切除术的优势则体现在微创性与功能保留:
1.腹腔镜技术仅需数个微小切口,显著减少创伤,患者术后疼痛轻、恢复快
2.脾部分切除避免了全脾切除后免疫功能缺陷,同时减少因血小板异常波动引发血栓隐患。
广医五院肝胆胰外科团队通过多学科协作,成功救治了这一例脾脏破裂患者。手术过程中,团队迅速响应,通过精准的手术操作和紧密的团队合作,成功挽救了患者的生命。体现了广医五院肝胆胰外科在肝胆外科领域的专业水平和普通外科危急重症的救治能力。
肝胆胰外科介绍
广州医科大学附属第五医院肝胆胰外科是省内知名的普外肝胆胰微创手术诊治中心之一,是以腹腔镜微创手术治疗为特色的专科之一,在医院大力支持下,科主任郑志鹏教授以普外科微创技术为发展导向,熟练运用腹腔镜微创技术处理各种复杂肝癌、胆管癌,胰腺癌、胆囊癌、肝胆胰脾良性肿瘤、肝内外胆管结石、胃肠肿瘤、腹膜后肿瘤、胆石症、腹部外伤等领域的各种重大、疑难、复杂病例。腹腔镜微创手术治疗在普通外科术后快速康复治疗中的应用为专科特色,达到创伤小、疼痛轻、恢复快等最佳临床疗效,诊疗水平国内领先。

专家介绍

郑志鹏
肝胆胰外科
副主任医师
博士、副主任医师。肝胆胰外科负责人。
从事肝胆外科十余年,是国内知名中青年肝胆外科专家,是广东省内能成熟开展肝胆胰微创和复杂手术的专家之一。擅长各类普通外科良恶性疾病的微创化治疗,尤其是腹腔镜肝切除、胰十二指肠切除术、腹腔镜胃肠癌根治手术等。
现任中国医师协会肝癌专业委员会委员、广东省基层医药学会胆道外科专委会副主任委员、广东省器官医学与技术学会肝癌MDT专委会副主任委员、广东省医疗行业协会门静脉高压症管理分会常务委员、广东省肝脏外科技术创新与临床转化专委会副主任委员、广东省药学会肝胆肿瘤多学科综合治疗专家委员会常务委员、广东省医疗行业协会微创外科分会副主任委员、广东省基层医药学会肝胆胰微创分会常务委员、广东省基层医药学会中西医结合肝胆外科委员会常务委员、广州市医师协会肝胆胰外科分会常务委员、广州市医师协会普外微创分会常务委员等职务、广州市医师协会理事。
主持或参与省级课题6项,以第一作者或通讯作者在国内外杂志发表论文20余篇,参编学术专著3部。曾获第七届“南粤好医生”、第九届“羊城好医生”、获2025年JoVE普通外科全国手术比赛一等奖、2023年JoVE普通外科全国手术比赛冠军、2022优术匠心全国肝胆胰外科手术比赛冠军、2017年国际肝胆胰协会中国分会全国手术比赛冠军、2016年国际肝胆胰协会中国分会全国手术比赛二等奖等荣誉。
医生介绍

陈雪芳
肝胆胰外科
主治医师
硕士,主治医师。
擅长各类普通外科(肝胆、胃肠、疝、阑尾)良恶性疾疾病的诊断和治疗,是腹腔镜等各类普通外科。擅长腹腔镜下肝脏、胃肠、胆道、胆囊、阑尾、腹股沟疝修补等微创手术,在肝胆胰、胃肠道等消化系统疾病诊治方面有较高的造诣。
现任广东省肝脏病学会肝癌MDT专业委员会常务委员,广东省肝脏病学会肝癌专业委员会委员,广东省基层医药学会胆道外科专业委员会委员,广东省医院协会肝胆胰专业委员会委员,广东省医疗行业协会专科管理分会委员。广州市医师协会普外微创分会委员。
参与国省厅局科研项目6项;发表 SCI 或国内核心期刊论文 10余篇, 2024年全国手术视频大赛(肝胆胰)二等奖,2024年全国JoVE普通外科手术视频比赛三等奖,2024年广州医科大学附属第五医院外科腹腔镜技能比赛第一名。



