一次偶然的血尿,竟让五十岁的李大叔(化名)查出了一种罕见恶性肿瘤——脐尿管癌。在广州医科大学附属第五医院,经过膀胱镜检查与病理活检确诊后,泌尿外科卞军团队为他成功实施了手术。术后病理显示肿瘤被完整切除,淋巴结未见转移。经过多学科协作制定后续治疗方案,李大叔已重返健康生活。
脐尿管癌
是一种什么样的癌症?
今天
我们就来聊聊这条
容易被忽视的 “脐尿管”
每个人在出生前,膀胱与肚脐之间都会存在一条名为“脐尿管”的小通道,它的作用是将胚胎产生的尿液通过脐带输送到羊膜腔,参与羊水循环。通常情况下,胎儿出生后,脐尿管会自然闭合、退化,最终形成一条连接脐部与膀胱的纤维条索。但总有例外——少数人(约1/3万)的脐尿管无法完全闭合,这些残留的组织就像一颗“潜在隐患”,可能成为诱发脐尿管癌的导火索。

01. 脐尿管癌的临床表现有哪些?
血尿:若肿瘤侵犯膀胱,可能出现肉眼可见的血尿,部分患者还可能伴随尿频、尿急等膀胱刺激症状。
肚脐异常:若脐尿管癌靠近脐部,可能导致脐部皮肤破溃,流出粘液性或血性液体,分泌物常带有臭味;少数情况下,脐部还可能长出外生性乳头状肿物。
下腹部不适:若肿瘤侵犯腹壁,可能引发下腹部疼痛,部分患者还能在下腹部触摸到肿块。
02. 通过哪些检查能发现这一隐匿的“脐尿管癌”?
影像学检查:泌尿系彩超、CT 或MRI是重要的初步检查手段,可发现脐尿管区域的异常病变,明确肿瘤的位置、大小,以及是否侵犯周围器官、有无远处转移等,为后续诊疗提供关键依据。
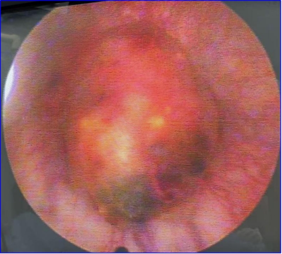
膀胱镜检查及病理活检:膀胱镜能直观观察肿瘤是否侵犯膀胱内部,必要时会取病变组织进行病理活检——这是确诊脐尿管癌的“金标准”。临床数据显示,约90%的脐尿管癌病理类型为腺癌。

03.确诊脐尿管癌后,该如何治疗?
手术治疗是脐尿管癌的核心治疗方式。医生会根据肿瘤的大小、位置、侵犯范围等具体情况,制定个性化手术方案:
基础手术需切除脐尿管残留组织、肿瘤本身及部分膀胱组织,必要时还会切除周围受牵连的组织;
若肿瘤进展较严重,可能需要扩大手术范围,比如切除全膀胱、肚脐及周围腹壁组织,同时清扫盆腔淋巴结,以尽可能完整切除肿物,降低复发风险。
术后,医生会根据病理结果评估病情,若存在复发或转移风险,还需进一步开展放疗、化疗等辅助治疗,以巩固疗效。

卞军
泌尿外科副主任
主任医师
硕士生导师,博士后合作导师,医学博士,毕业于中山大学附属第一医院。德国慕尼黑大学附属医院泌尿外科高级访问学者。
熟练掌握各种泌尿男科疾病诊治,擅长前列腺疾病、男性尿失禁、女性尿失禁、膀胱过度活动症、腺性膀胱炎、间质性膀胱炎、神经源性膀胱、精索静脉曲张、阴茎阴囊疾病、泌尿系肿瘤、泌尿系结石等疾病诊治及微创手术技术,对控尿相关手术及综合物理治疗有深入研究,相关研究成果多次在国家级、省级学术会议上进行专题发言及交流。另外擅长泌尿外科相关术后性功能障碍、控尿功能障碍的综合康复治疗,并与美国安德森癌症中心合作,实施人工阴茎假体植入、人工尿道括约肌植入等具有国际先进水平的术式。
现担任广东省养老养生健康促进会泌尿与男性健康专业委员会主任委员、中国民族医药学会男科分会常务理事、广东省医学会性医学分会常委、广东省中西医结合学会男科学分会常委、广东省医学会男科学分会委员、广东省临床医学学会男性健康专业委员会常委、广东省健康管理学会男性健康专业委员会常委、广东省泌尿生殖协会前列腺疾病学分会常委、广东省泌尿生殖协会电生理医学分会常委、广东省自然科学基金项目评审专家、教育部项目评审专家、广东省高层次人才评审专家、广东省药监局稽查药品(含医疗器械、化妆品)认定专家、《中华生物医学工程杂志》编委等学术任职。

梁雁冰
主治医师
医学硕士,曾接受中山大学孙逸仙纪念医院功能泌尿大师班专业培训,熟练掌握下尿路、盆底解剖及功能调控,能熟练开展尿流动力学检查及排尿功能评估,临床擅长各种尿失禁、神经源性膀胱、间质性膀胱炎、膀胱过度活动症、膀胱尿道疼痛综合征及其它下尿路异常症状诊治。熟练开展中段尿道悬吊术、膀胱壁内A型肉毒素注射术、经皮神经电刺激、胫神经调节、骶神经调控等尿控相关手术。



