□文/耳鼻喉科 方锐华
不久前,央视著名主持人因喉癌去世的新闻引起人们对喉癌的特别关注。广医五院耳鼻喉科张建中副主任医师告诉你,喉癌也能微创治疗,术后照样能说话!下面咱们用实例说话:
事情的经过是:11月中旬,从不看病的67岁的张大叔,半月前因为感冒后声音嘶哑,来我院就诊。张大叔说,这次声嘶和以前感冒后声嘶不太一样,特别“顽固”,声音嘶哑呈持续性,说话费力,发高音困难,休息也未能缓解。曾多次在当地就诊,消炎针和中药都用过几天了,声嘶仍是没缓解,于是便被子女带来我院求医。据了解,张大叔平日身体健康,但却是个吸烟数十年的“老烟枪”。
我院耳鼻喉科张建中副主任医师详细问诊后,马上予完善电子喉镜检查(如下图),根据多年的临床经验,张主任建议张大叔住院完善检查并手术治疗。 
最后,完善术前检查,予安排手术治疗,术中冰冻结果提示为:左侧声带中分化鳞状细胞癌,便行“支持喉镜下左侧声带切除术”,并分别留取切缘送检,术后病理结果提示:左侧声带中分化鳞状细胞癌。
由于手术只切除一侧声带,另一侧声带代偿,术后张大叔也照样能说话了!手术3天后,便康复出院。
喉癌的微创治疗,不仅减少张大叔的术后痛苦,也保住了宝贵的喉咙和发音功能。
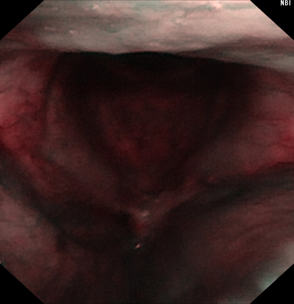
术后2个月后,张大叔返院复查,声嘶较前明显好转!复查电子喉镜如下图,左图为普通喉镜示:双侧声带区光滑,未见明显肿物复发!右图为NBI喉镜提示:未见有恶性肿瘤复发血管紊乱表现。


众所周知,喉是形成发音以及呼吸功能的重要人体结构,喉恶性肿瘤的发生,夺走了大部分患者说话的权利,既能完整切除肿物又能自由说话成为喉癌患者的迫切希望!广医五院耳鼻喉科用微创手术为张大叔实现了这一希望。
下面是五院科普小课堂时间
——喉癌分三型,声门型最常见
喉癌在头颈部恶性肿瘤中的发病率仅次于鼻咽癌和甲状腺癌,最常见的是鳞状细胞癌。声带多为发病处,好发于50一70岁的嗜烟酒男性。
喉癌可分为三种类型:
声门型喉癌最为常见,其早期症状是声音嘶哑,并逐渐加重,肿瘤增大时可出现喉阻塞、呼吸困难、有喉鸣声。由于声门型喉癌早期症状明显,易被发现,治疗效果也最好。
声门上型喉癌的早期症状常常为咽部异物感等咽部不适,晚期可出现痰中带血,逐渐发展至侵及声带时,才有声嘶等症状。
声门下型喉癌最少见,预后也较差。因为肿瘤位置隐匿,早期可无症状,以后逐渐出现咳嗽、血痰,晚期可出现呼吸困难。
最后为大家划下重点:
(1)喉癌若早期发现,早期干预,喉癌的治疗效果仍相对较好,术后5年生存率可达80%以上,且能微创手术切除肿物,保留喉的发音功能,术后照样能说话,且减少术后并发症!
(2)对于普通喉炎,2周时间基本上能改善或恢复。即使是用嗓过度引起的声嘶,经过2周的静养,声带的紧张状态也可得到缦解。如果出现原因不明的声嘶,经过2周的对症治疗后仍没有改善,应到医院接受间接喉镜、电子显微喉镜、动态喉镜、喉部CT等检查。
因此,日常生活中,凡是有原因不明的超过2周的声嘶、咽喉异物感,经过治疗无好转,年龄四十岁以上,有嗜烟者,应尽早就诊。



