近日,广州医科大学第五附属医院肝胆胰外科郑志鹏团队展现了高超的手术技艺,成功实施一例极具复杂性、风险性和挑战性的腹腔镜联合门静脉切除重建胰十二指肠切除术,为患者解决大难题!
1、身黄目黄,发现胰腺肿瘤
朱先生(化名)10天前突然出现身黄、目黄,小便颜色如浓茶样,前往广医五院肝胆胰外科就诊做腹部增强CT发现胰腺占位,考虑胰腺癌,肿瘤位于胰腺头部,周围环绕胆管、胃、十二指肠等重要器官,且肿瘤已累及门静脉主干,消化器官回流至肝脏的血管在此交汇,位置刁钻,手术难度极大,稍有不慎便可能引发致命性出血,风险极高。
但传统开腹手术创伤大、恢复慢,经过团队讨论后,决定为患者实施腹腔镜手术治疗。

患者术前CT(红圈内为肿瘤病灶)
2、微创血管重建,10天出院
面对复杂的手术区域,郑志鹏主任带领团队迎难而上,依托丰富的腹腔镜外科技术,历时7小时完成手术。术中通过5个小孔,精细解剖肝动脉、门静脉、肠系膜上静脉等多条重要血管,完整切除肿瘤及受侵犯的门静脉,仔细将门静脉缝合,严密对合后的血管通畅无渗血。患者术后第5天恢复饮食,10天后顺利出院,住院时间比传统开腹手术缩短近一半时间,更关键的是,腹部仅留5个0.5-25px小孔,肚子上没有“蜈蚣疤”。

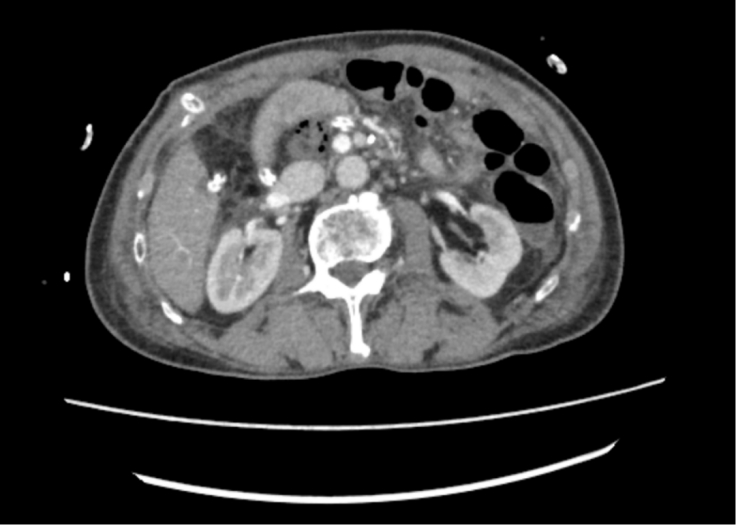
术后CT显示术区干洁


3、腹腔镜下精准操作挑战
郑志鹏主任介绍:胰十二指肠切除术(LPD)本身已是普外科公认的“珠穆朗玛峰级”手术,需切除胰头、十二指肠、胆总管、胆囊及部分胃这五个器官,并完成胰肠、胆肠、胃肠三重吻合。而此次手术的难点在于联合门静脉切除重建,需在腹腔镜下精准分离被肿瘤侵犯的血管,切除受累血管后逐层精准吻合血管壁,将血管两端完美对合,血管吻合要求“毫米级精度”,确保血流通畅且无渗漏,稍有不慎便可能导致大出血或术后血栓形成,对缝合精度要求极高。相比传统开腹手术,腹腔镜技术的优势在于放大10倍视野,配合精细器械实现“血管绣花”,创伤更小且精度更高,疼痛轻,患者心理负担显著降低,且术后疤痕隐蔽,兼顾疗效与美观。
图解手术
1、肿瘤位置


2、手术切除范围


3、多个器官吻合


专家介绍
郑志鹏
肝胆胰外科负责人
副主任医师

博士硕士生导师,国内知名中青年肝胆外科专家,是广东省内能成熟开展肝胆胰微创和复杂手术的专家之一。
在国内首创“六扇门”解剖入路腹腔镜肝切除术,发明“郑氏肝门阻断带”。



