□文/肾内科 龚艳晖 □图/DSA室提供
2015年12月9日,广州医科大学附属第五医院肾内科联合心血管介入科运用DSA,成功为一位深静脉狭窄及闭塞的患者实施左颈内静脉半永久透析导管植入术,术后患者血管通路血流量良好,为肾脏透析提供了血管通路,重建了患者的“生命通道”。
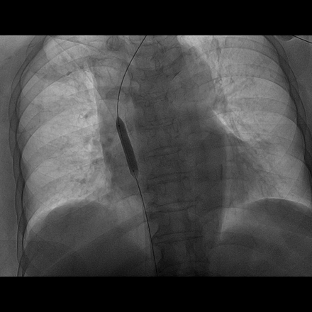
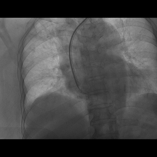
72岁钟阿姨,患尿毒症3年多,长期在我院维持性血液透析治疗,有糖尿病基础疾病,血管条件差,无法行动静脉内瘘手术建立血管通路。钟阿姨曾于2012年底在我院植入右侧颈内静脉半永久透析管,1年后因管路血流不通畅,予以行左侧颈内静脉半永久透析导管术,继续规律血液透析,近期因管路血流量不佳入我院住院治疗。入院后查CTV提示左侧颈内静脉纤细,上腔静脉怀疑血栓,右侧颈内静脉狭窄。由于考虑手术风险高,手术难度较大,肾内科严跃红主任医师邀请广州市第一人民医院放射介入科陈国东副主任医师,联合我院心血管介入科邓天明副主任医师和DSA室医护人员,术前全面评估,术中精细操作,血管造影显示:左侧锁骨下静脉、头臂静脉、上腔静脉上中段狭窄,上腔静脉下段完全闭塞,遂用三个球囊对狭窄闭塞的静脉血管进行逐级扩张成形后,上腔静脉血管复通,DSA引导下辅助半永久透析导管植入,手术成功。
该手术为钟阿姨建立了良好的血管通路,重建了她透析之路的“生命线”,解决了临床棘手的问题,该项技术的成功开展标志着我院血液透析血管通路的建立和介入手术方面取得新的突破。

血管闭塞

球囊扩张

球囊扩张

置入长期透析导管



