年轻的张先生,虽然才35岁,却已有约20年的乙肝病史。并且4年前,他在体检时发现,病情已进展为肝硬化。不久前,他更是出现腹痛、腹胀的症状,随后经过检查发现,张先生的病情为肝占位病变,结肠及肺可疑病变,可能患有肝肿瘤。为此,张先生慕名来到来我院就诊。消化内科黄建伟主任医师接诊并详细地为他做了检查。
最终,张先生被确诊为原发性肝癌。消化内科在进行多次科内病情讨论,曹远景副主任医师综合考虑病情后,考虑到他处于乙肝肝硬化失代偿期,同时有食管胃底静脉重度曲张、腹水等问题,严谨制定了手术及术后护理方案,拟定为张先生进行肝癌介入栓塞治疗,并将择期在进行第二次介入化疗栓塞术。
手术进展十分顺利,在曹远景副主任医师、王轩主治医师精细操作下顺利行栓塞治疗,术后无明显感染,出血等并发症的出现。手术后,在消化内科医生及护士的精心护理下,张先生术后3天顺利出院。
肝癌是常见消化道肿瘤,肝癌的发生常伴有肝硬化,而肝硬化患者的身体状态通常较差,不能良好耐受外科手术治疗,因此治疗上首选对身体损伤较小的血管介入治疗,因其无需开刀,损伤小,恢复快。我院消化内科能熟练掌握消化道各肿瘤、血管瘤的介入治疗技术,熟练运用超选技术,为患者解除病痛,欢迎广大患者前来就医问诊。

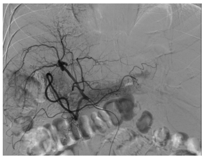
造影显示患者肝右叶肿瘤染色

栓塞后瘤体染色基本消失



