神经外科手术的精细好比“豆腐上动刀”,差之毫厘,患者就可能非死即残。每一位神经外科医生都像是行走在钢丝绳上的芭蕾舞者,每一次精准的出刀,都意味着挽救患者的功能和生命,为四处奔波的疑难患者带来重生的希望。

颅内功能区恶性肿瘤,是神经外科手术的一大棘手的难题。是全切或扩大切除减少复发,还是部分切除保留肢体功能?这个让这类疾病患者举棋不定的选择。保留功能区意味肿瘤不能全切,残留肿瘤组织必定会复发,失去最佳治疗机会或增加再次手术风险;另一方面扩大全切功能区肿瘤可以延长生存时间,但可能带来肢体功能障碍、生活质量差的风险。
广医五院神经外科杨孔宾教授团队则力求为诊者寻找个性化、最优化治疗模式,即沿脑沟入路、寻纤维束环切,通过技术上的优势,寻找“平衡点”,全切而不影响功能区脑组织,保留功能区同时而达到全切,减少肿瘤复发,努力为群众办实事,主动为人民解难题。
成功切除凶险高级别 恶性胶质瘤
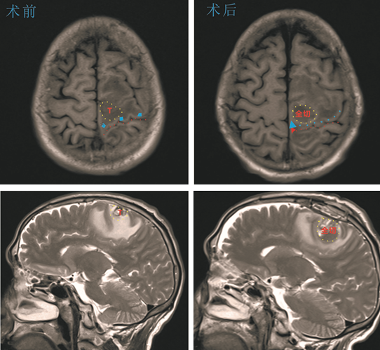
这天夜晚,外来务工的中年男士陈大哥突发癫痫,被紧急送往广医五院就诊,通过头颅CT提示大面积低密度影,很可能为脑梗塞。然而接诊的神经外科杨孔宾科主任仔细阅片和进一步询问病史后,考虑更可能是高级别胶质瘤可能性大,因为恶性肿瘤引起的广泛水肿导致CT片上为低密度影。随后的详细检查也进一步验证了胶质细胞瘤的猜测。同时,由于陈大哥的肿瘤恶性程度较高且肿瘤生长在大脑前回,这让科室面临一个进退两难的处境——如果采用激进的手术可能会存在偏瘫的风险;若肿瘤不全切又可能会迅速复发。在经过神经外科手术团队详细的讨论后,决定进行手术并寻找“平衡点”,沿脑沟入路、寻纤维束环切。全切肿瘤的同时,减少大脑前回纤维束的受损,保留生活质量。在与家属充分沟通后,这个方案也得到了家属的充分信任。
在杨孔宾教授的指导下,经过充分的术前准备,神经外科手术团队在显微镜下为陈大哥进行了功能区占位病变全切术,手术十分顺利,术后MRI复查提示肿瘤全切,病理提示胶质细胞瘤级别高,术后陈大哥的肢体功能得到保留,自主生活,顺利出院。在后期继续同步放化疗后,近期的复查也未见肿瘤复发。

同样成功的案例近日也发生在患者李大哥身上。近日,50岁的李大哥因为左侧肢体突发乏力,慕名来到广医五院神经外科就诊,他被诊断患有右侧额叶恶性肿瘤,通过全麻显微镜下予以占位病变全切手术后,肢体乏力较入院前明显好转,最后病理提示转移瘤,不久后顺利出院。

广医五院神经外科团队聚焦群众身边的“操心事、烦心事、揪心事”,积极行动,主动作为,通过精湛的技术努力服务患者群众,切实把教育成果转化为为群众办实事、解难题的实际行动,提高人民群众的安全感、满意度。
广东五院神经外科
科室目前有医生10人,其中主任医师3名,副主任医师1名,主治医师5名,住院医师1名;博士后1名,博士1名,硕士7人;2人具有介入资质。护士16人,其中主管护士2名,NICU专科护士多名。拥有一体化手术室、徕卡显微镜、DSA两台、神经内镜一套、电生理监测1台、电、气动钻各一台、CEA手术器械一套、脊柱手术器械一套等神经外科高端手术器械。

杨孔宾,主任医师、教授,博士生导师,神经外科博士,药理学博士后。美国梅奥医院学者。擅长听神经瘤、脑膜瘤、垂体瘤等颅底肿瘤、脑室内肿瘤、胶质瘤、面肌痉挛和三叉神经痛、脑动脉瘤和脑血管畸形以及脑出血和颅脑损伤等脑外科急症的抢救、诊治,采用神经内窥镜、神经导航等辅助下微创神经外科手术技术,创伤小、恢复快、预后佳。擅长小儿神经外科脑积水、脑脊膜膨出和脑肿瘤等精细微创手术治疗。现已完成各类神经外科手术四千余例。
2018年荣登中国名医百强榜,2018年荣登胡润名医榜。参编人卫出版社神经外科手术学、重症医学专著和神经内镜3部,现主编人卫出版社神经外科手术图谱1部;主持国家级、省级课题5项,发表SCI、国家级文章共21余篇;兼任国家自然科学基金评审人、中国神经再生研究(英文版SCI)杂志审稿人等。
兼任中华医学会小儿神经外科学组委员,中国医师协会小儿胶质瘤学组委员,高健委医促会神经外科常务委员,中国妇幼保健协会小儿神经微创学组委员,中国医药教育协会神经内镜与微创学组常务委员,欧美同学会神经肿瘤分会会员,黑龙江医促会颅脑损伤重症分会副主任委员,黑龙江省预防医学会儿童脑积水防治委员会主任委员。
出诊时间:周一上午。
供稿:神经外科
编审:党委办公室




