近日,在广医五院-巴塞罗那心脏中心主任卢才义教授的带领下,心血管内科副主任李龙虎主任医师带领团队许业灏医生、连锦潘医生首次在医院采用Shockwave IVL(冠脉血管内冲击波钙化碎裂术)为患者进行手术。
此次新技术开展成功完成了广州黄埔区首例血管内冲击波钙化碎裂术(Shockwave IVL)及PCI手术,填补了广州黄埔区在该领域的技术空白,为广大患者带来了全球领先的血管钙化处理技术,标志着广州医科大学附属第五医院冠脉介入手术迈入了更复杂精准治疗新时代。
血管钙化是冠心病的常见表现之一,同时钙化病变增加冠心病介入治疗的难度,包括球囊支架等器械无法通过,手术并发症如夹层、穿孔风险增高等。虽然目前已经有多种钙化病变的处理手段,但对于血管直径大,深层的血管钙化处理效果仍不理想。

▲ 李龙虎主任医师团队正在进行Shockwave血管内冲击波钙化碎裂术
今年1月,患者梁伯因反复活动胸闷气短到我院住院治疗。梁伯是个老烟民,在入院后完善相关检验检查后,考虑诊断为不稳定型心绞痛。随后在进一步完善冠脉造影后,提示梁伯的右冠重度钙化,全程管腔不规则狭窄,其中远端狭窄达85%,需要尽快进行介入手术治疗。于2月23日进行手术后,造影显示冠状动脉右冠远端有明显狭窄伴钙化。经李龙虎主任医师手术团队讨论后,决定为梁伯采用Shockwave血管内冲击波钙化碎裂术,经过5个周期的冲击波治疗,精确碎裂冠状动脉内膜和中膜下钙化病灶,随后顺利植入支架。

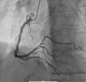
▲ 使用IVL之前

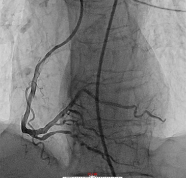
▲ 使用IVL之后
手术过程:送Shockwave 2.5-12mm C2球囊至RCA远段病变处,压力充盈至4ATM,触发10个冲击波脉冲松解钙化斑块,然后充盈压升至6ATM维持10s对病变行低压球囊扩张成形,然后球囊泄压10s恢复靶血管而管灌注,此为1个治疗周期。重复上诉操作,总计2.5-12mm C2球囊输送5个治疗周期。
此次通过Shockwave IVL技术的实施,精准治疗血管钙化,为患者植入支架提供更好的的管腔。
Shockwave IVL
冠脉介入医生的新“利剑”
李龙虎主任医师介绍道,冲击波球囊技术通过高电压脉冲气化液体形成冲击力,使血管钙化病变碎裂松软,从而扩大管腔面积效果,为后续的支架植入和充分扩张提供条件。他表示,中心成功开展首例冲击波球囊技术,心脏介入手术又多了一把治病救人的“利剑”,为复杂高难度冠脉病变患者带来更多的选择和希望。努力为患者提供更好的医疗服务。
此次Shockwave IVL冲击波钙化碎裂术的应用,是广医五院心脏中心的首次尝试,也为广州黄埔区广大患者带来了治疗复杂冠脉病例的又一有力工具,实现了广州东部此项技术零的突破,标志着广医五院在冠脉介入精准治疗复杂病变领域又迈出了坚实的一步,同时也向广大广州黄埔区患者带来了更多的“心”局面。

卢才义教授,心脏中心学科带头人,主任医师,博士生导师,国内心血管专业著名专家。先后担任空军总医院副院长,第四军医大学教授,解放军总医院老年心血管病研究所副所长、老年心内科主任等职务,共发表论文191篇,其中SCI收录6篇,PubMed/Medline收录7篇。发表学术专著24部,主编10部。先后从事科研项目18项,其中国家973课题分题1项、国家十五重点课题分题2项、科技部支撑课题分题1项、国家自然科学基金面上课题1项、中国医药卫生基金专项课题1项、军队十一五科技攻关课题1项。
出诊时间:每周二、周四上午。

李龙虎,主任医师、医学博士、博士后、教授、硕士研究生导师、心血管内科副主任。从事心血管及内科疾病的诊断与治疗工作20余年,一直从事临床医疗、科研和教学工作,专业特长是循环系统疾病的诊疗,对循环系统常见病、多发病的预防、保健、诊疗和康复有丰富的临床经验,擅长于冠心病急性心肌梗死、心绞痛、急慢性心力衰竭、顽固性高血压、恶性心律失常及各种心肌病的诊断、抢救和治疗。在心血管介入性诊断与治疗领域有较深的造诣。从事心肌病、缺血性心脏疾病、心衰的基础与临床研究多年,特别是在心肌病、缺血性心脏疾病方面有丰富的研究经历。2013年创新提出冠脉分叉病变BSKT介入新术式,目前该项技术在国内外被广泛使用。
出诊时间:周二、周三全天。



