
▲ 广医五院心脏中心TAVR团队首台高难度TAVR手术合影
“反复胸闷、气促、生活质量低下……”主动脉瓣疾患是一个老年化的疾病,随着我国老龄化社会的到来,越来越多的老人罹患此病。主动脉瓣就好比是我们心脏这个泵上的一个阀门,一旦出现重度的狭窄或关闭不全,人的器官就会出现供血不足,很快就会出现呼吸困难、心绞痛、晕厥等症状,不久后就会危及到生命。
近日,广州医科大学附属第五医院心脏中心TAVR团队在卢才义教授、李龙虎主任医师的带领下,使用VitaFlow Liberty可回收电动输送系统完成一例高难度重度主动脉瓣返流伴中度狭窄TAVR手术,在医院各个科室协同配合下,手术顺利完成,且患者术后恢复极佳。术后超声复查,心室大小明显改善,且心功能由术前的低位,已回升到正常水平,患者近期已康复出院,且院前评估的各项参数均已达标。此次顺利完成医院首台高难度TAVR手术,也标志着广医五院心脏中心TAVR团队迈向新征程。
72岁的患者邓伯,已经有反复胸闷、气促的症状2年多了,最近这一个多月,症状越发严重,于是家人紧急将他送到治疗。来到广医五院心脏中心,医生检查发现,邓伯之前就有高血压病、慢性心力衰竭、慢性阻塞性肺病、低蛋白血症、贫血等病史,同时检查发现,冠脉有轻度狭窄,且心脏超声发现,患者Type0二叶瓣,主动脉瓣中—重度返流,伴中度狭窄,二尖瓣轻度返流,三尖瓣轻度返流,左室舒张、收缩功能减退。
根据患者病情、辅助检查,心脏中心团队考虑诊断主动脉瓣重度返流伴中度狭窄,需尽早进行主动脉瓣置换手术,如不及时行手术治疗,随时有病情恶化甚至死亡的风险。
但是考虑到邓伯年龄大、体质虚弱、基础疾病多,不适宜行常规的外科心脏瓣膜置换手术。为了找到最适合手术方案,心脏中心团队医护团队联合心胸外科、麻醉科、影像科、B超、导管室、重症医学科等多学科会诊讨论后,最终确定为患者行TAVR手术作为首选治疗方案。
经皮导管主动脉瓣置换术
(TAVR手术)
心脏瓣膜疾病又称瓣膜性心脏病(valvular heart disease,VHD),是由多种病因引起的瓣膜损害,导致瓣口狭窄和或关闭不全所致的心脏病,涉及心室内所有瓣膜,包括主动脉瓣、二尖瓣、三尖瓣、肺动脉瓣。主动脉瓣狭窄和或关闭不全常会引起胸闷气喘、疲惫乏力、晕厥、心绞痛、活动耐量下降等相关症状,已成为人类长寿征途上需要跨越的一道坎。如今随着医疗技术的发展,拯救心脏的大门也有了一线生机——“TAVR手术”。
TAVR是一个英文(Transcatheter Aortic Valve Replacement)的缩写,它的中文的全称叫:经皮导管主动脉瓣置换术,TAVR是一种先进的微创介入治疗,一般是指在病人的大腿动脉开一个小孔作为入路,通过此入路将人工瓣膜送至主动脉瓣膜处并释放,代替坏掉的瓣膜,恢复心脏阀门的正常开闭功能。对于外科治疗主动脉瓣的开胸手术而言,TAVR具有创伤小、术后恢复快等优点,无需开胸、体外循环、心脏停跳等风险,大大降低手术风险。TAVR技术的开展让高龄、基础病多、心功能差、不能耐受开胸体外循环手术的主动脉瓣病变患者有了新的选择。然而TAVR手术的操作非常复杂,而且需要多学科的共同合作。
术前评估






策略制定
经心脏中心卢才义主任、李龙虎主任团队分析研判:此例患者结合临床明显瓣膜病症状以及在术前心室造影综合评估得出,此例患者为Type0二叶式重度主动脉瓣返流病人,瓣环周长84mm,LVOT周长90.3 mm,瓦式窦长径40.9mm,短径24.4mm,STJ 均径33.1mm,升主动脉均径35.2mm,左冠高度17.5mm,右冠高度14.4mm,下肢入路血管条件可。但CT造影提示主动脉瓣叶脱垂,流出道呈喇叭口状,且窦内钙化较轻缺乏有力锚定,考虑到植入后的人工瓣膜有一定的压缩比,锚定条件可,但不可过深植入,所以本次瓣膜的植入深度和瓣膜的锚定位置情况是本次手术的重要关键点。
经过手术团队反复评估和研讨后,最终考虑选用右股动脉为主入路,导丝过瓣后,植入VitaFlow Liberty TAV30瓣膜,用DSR30电动可回收输送系统确保瓣膜的精准定位和释放,术后结合造影和超声,再评估是否需要瓣中瓣做为预案。
手术过程
手术当天,心脏中心卢才义主任、李龙虎主任团队联合医学影像科、超声科、麻醉科、导管室、护理团队、胸外科等相关科室的医护人员,与外院团队共同协作,按照手术前详细制定的手术方案,紧张有序地忙碌着。最后在专家团队的冷静操作下,仅一个多小时便成功完成了手术。

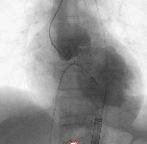
▲ 主动脉根部造影:瓣叶脱垂,可见主动脉瓣重度返流

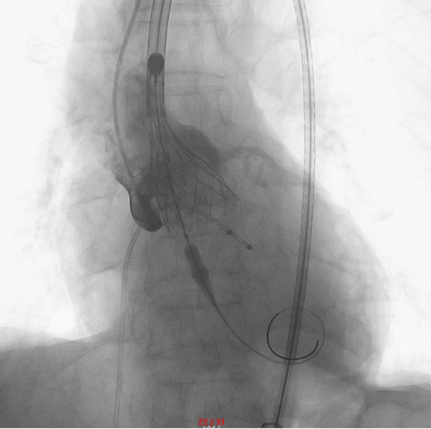
▲ 瓣膜定位释放:精确定位,造影示位置、形态良好

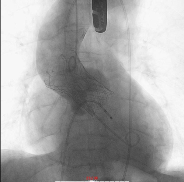
▲ 术后主动脉根造影:瓣膜完全释放后造影示无返流,无跨瓣压
广医五院-巴塞罗那心脏中心始终秉承全心全意为人民服务的根本宗旨,时刻把患者生命安全放在首位,用实际行动为患者解除疾病痛苦。中心在学科带头人卢才义教授的带领下,汇集了一批拥有高学历、丰富临床经验的医师团队,而且配备了先进介入诊疗设备。此次在多学科合作下,广医五院心脏中心TAVR团队顺利完成首台高难度大瓣环的纯返流伴中度狭窄TAVR手术,在从穿刺到释放瓣膜仅用时1个多小时完成手术,病人术后恢复良好,第三天即可下床活动,本次手术的成功是广医五院心脏中心的首次尝试,为广大患者带来了治疗心脏瓣膜疾病的又一有力工具,实现了广州东部此项技术零的突破,标志着广医五院在心脏瓣膜病治疗领域又迈出了坚实的一步,同时也更好地向广东省、广州市及东部广大患者带来了更多的“心”局面,提供高质量的诊疗“心”服务。

卢才义教授,心脏中心学科带头人,主任医师,博士生导师,国内心血管专业著名专家。先后担任空军总医院副院长,第四军医大学教授,解放军总医院老年心血管病研究所副所长、老年心内科主任等职务,共发表论文191篇,其中SCI收录6篇,PubMed/Medline收录7篇。发表学术专著24部,主编10部。先后从事科研项目18项,其中国家973课题分题1项、国家十五重点课题分题2项、科技部支撑课题分题1项、国家自然科学基金面上课题1项、中国医药卫生基金专项课题1项、军队十一五科技攻关课题1项。
出诊时间:每周一、周四上午。

李龙虎,主任医师,医学博士、博士后,教授,硕士研究生导师,心血管内科副主任,二病区负责人。国家自然科学基金项目评审专家。中国心脏联盟心血管疾病预防与康复专业委员会委员,广东省医学会心血管病学分会委员,中国大湾区心脏协会泛血管医学分会委员,广州市医学会心血管病学分会常务委员。从事心血管及内科疾病的诊断与治疗工作20余年,对急性心肌梗死、心绞痛、急慢性心力衰竭、顽固性高血压、恶性心律失常及各种结构性心脏病的诊断、抢救和治疗有丰富的临床经验。擅长冠心病、肺血管病、外周血管病、先心病介入手术,在冠心病左主干、慢性闭塞、分叉、钙化病变等复杂高难度介入手术治疗领域有较深的造诣,2013年在世界上首创性地提出了冠心病分叉病变介入治疗BSKT新术式,目前该项技术在国内外被广泛使用。主持过国家自然科学基金、教育部留学归国人员启动基金、省自然科学基金等多项科研课题,已发表SCI论文及国家核心期刊30余篇,数篇以第一或通讯作者发表在国际权威杂志上,如《Circulation》《JACC》等杂志。
出诊时间:周二上午、周三全天。
供稿:心脏中心



