睡了一觉,久治未愈的气胸就没了,这是发生在广医五院患者的一个真实案例。
近日,一名难治性气胸患者在广医五院呼吸与危重症医学科治疗后痊愈出院。1月17日,在呼吸与危重症医学科易高主任的带领下,团队为患者成功实施了“选择性支气管封堵术”,为患者解决了病痛难题,也为更多难治性气胸患者带来福音。
69岁的汕头阿伯因半个月前左侧自发性气胸在当地医院就诊,医生为他进行了胸腔闭式引流术,因持续漏气,未能成功拔除胸腔引流管。为进一步治疗,阿伯转院至我院呼吸与危重症医学科住院。

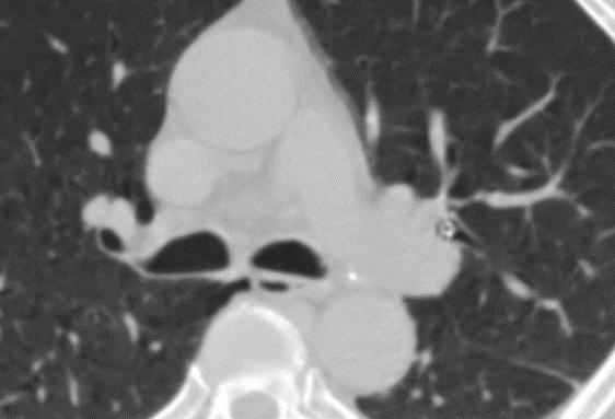
▲术前CT
考虑阿伯长期大量吸烟,考虑肺功能差,呼吸与危重症医学科团队根据阿伯的情况制定了个体化治疗方案,决定给他实施选择性支气管封堵术,术后予以夹管24小时,未见气胸复发,顺利拔除胸腔引流管。易高表示,对于肺功能差的难治性气胸,我们尤其要首选微创,甚至无创治疗方案。

▲术中情况
“感谢易高教授团队提供的个体化微创治疗方案,我们实实在在的感受医疗技术的进步,感谢广医五院。”术后阿伯就能自行返回病房,阿伯表示,感觉睡一觉就做完了手术,实在是太便利了。


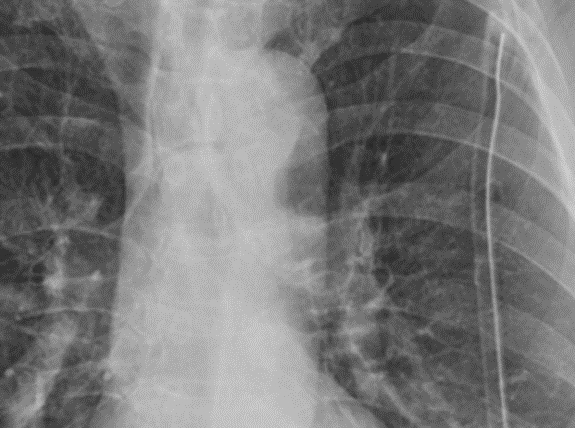
▲术后影像学
难治性气胸
难治性气胸(intractable pneumothorax或difficult pneumothorax)是临床上的一个常见而棘手的问题,其病程迁延、严重影响患者生活质量,有时可出现继发感染、呼吸衰竭等并发症,甚至危及生命。随着我国介入呼吸病学技术的快速发展,多种呼吸介入诊疗新技术已被应用于呼吸系统疾病的诊治。
各种类型的气胸经持续肋间引流7 d后仍存在活动性漏气时称难治性气胸。换言之,自发性气胸经7 d或以上的持续肋间引流后仍存在活动性漏气时应给予包括选择性支气管封堵术SBO在内的更为积极的干预措施。对于难治性气胸,临床上传统的治疗方法包括外科手术及内科治疗两大类,均经胸膜腔进行处理,包括胸腔穿刺抽气、肋间引流、胸膜硬化术、内科胸腔镜治疗、外科胸腔镜手术、开胸手术等。SBO则是经气道进行介入治疗。
SBO适应症:除巨大肺大疱合并难治性气胸优先考虑外科治疗外,原则上符合难治性气胸定义者均为SBO的适应证。难治性气胸同时存在以下情况时建议优先选择SBO:
1. 心、肺功能不全和(或)存在其他预后不良的基础疾病者;
2. 患者不愿意接受外科胸腔镜或其他外科手术;
3. 既往有反复的气胸发作史;
4. 患者为未成年人。




