一次手术,解决两大难题。近日,广医五院泌尿外科开展腹腔镜膀胱部分切除术+腹腔镜左肾部分切除术,一次性为70岁大伯解决肾脏肿瘤和膀胱肿瘤两大问题。
两大手术难题
一次性微创化解决
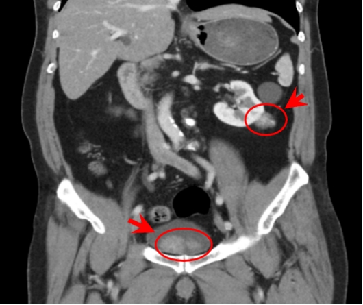
今年70岁的王伯,因血尿问题在老家的医院就诊,检查发现膀胱和左边肾脏都有肿瘤,当地医院考虑到王伯病情较为复杂,建议来到广州就诊治疗,王伯慕名来到广医五院泌尿外科就诊。
泌尿外科徐桂彬主任接诊后,进一步检查发现膀胱有个125px的大肿瘤,肾也有个50px的肿瘤,膀胱肿瘤病理检查恶性程度较低,考虑如果切除整个膀胱对王伯的生活影响较大。在经过充分评估后,徐桂彬主任团队决定保留膀胱,且同时将肾脏和膀胱肿瘤一次手术切除。

近日,徐桂彬主任手术团队在全麻下顺利为王伯完成手术,术后第一天王伯就已可以下床活动,对于能同时切除肾脏和膀胱肿瘤,王伯表示非常感激,自己不用再进一次手术室了,也节省了很多治疗费用。当得知自己大部分正常的膀胱得到了保留,以后生活不会受到太大影响,王伯再次感动的说谢谢徐主任,夸赞徐主任的医术高超。术后第三天,王伯恢复良好,顺利出院。

科普小知识:
两个常见的泌尿肿瘤
肾癌

▲ (注:图片由供稿科室提供)
肾癌是泌尿系统中恶性度较高的肿瘤,也是最常见的肿瘤之一,起源于肾实质泌尿小管上皮系统的恶性肿瘤,又称肾腺癌,占肾恶性肿瘤的80%~90%。目前,肾癌在我国泌尿生殖系统肿瘤中占第二位,仅次于膀胱肿瘤,占成人恶性肿瘤的2%~3% 、小儿恶性肿瘤的20%左右。男女发病率有明显差异,据统计,男女之比为2:1。肾癌的发病率随年龄增大而升高,有资料显示,肾癌的高发年龄在40~55岁。
膀胱癌

▲ (注:图片由供稿科室提供)
膀胱癌也是泌尿系统最常见的恶性肿瘤,也是全身十大常见肿瘤之一。占我国泌尿生殖系肿瘤发病率的第一位,而在西方其发病率仅次于前列腺癌,居第2位。2012年全国肿瘤登记地区膀胱癌的发病率列恶性肿瘤发病率的第9位。膀胱癌可发生于任何年龄,甚至于儿童。其发病率随年龄增长而增加,高发年龄50~70岁。男性膀胱癌发病率为女性的3~4倍。
广医五院泌尿外科
广医五院泌尿外科是广东省临床重点专科,科室以微创手术为特色,快速康复为品牌,科室的泌尿系结石系统化治疗水平处于国内领先地位,达国际先进水平。我院也是国内率先开展前列腺热蒸汽消融术的单位之一。

徐桂彬教授、主任医师、博士生导师。广医五院泌尿外科临床重点专科负责人、泌尿外科主任。
先后被评为首届“广东省杰出青年医学人才”、“广东医师奖”、“云南省五四青年奖”、广东省高等学校“千百十人才工程”培养人才、“广东省高校优秀青年教师培养人才”、“广州市高层次卫生骨干人才”、“广州市青年岗位能手”、“羊城好医生”等荣誉称号。
现担任广州市医学会微创泌尿外科分会主任委员、广东省医师协会泌尿外科医师分会副主任委员、广东省泌尿生殖协会转化医学分会主任委员、中国医师协会泌尿外科医师分会结石学组委员。
出诊时间:周一上午、周三下午。

谢清灵,副主任医师,硕士研究生导师,医学博士,广东省医学会泌尿外科学分会青委会委员,广东省泌尿生殖协会转化医学分会常委,广东省中西医结合学会结石分会委员,广东省基层医药学会下尿路疾病专业委员会委员,广东省养老养生健康促进会泌尿与男性健康管理专业委员会委员,参与国家级省级课题多项,在国际国内发表专业文献多篇,擅长综合应用各种微创术式处理复杂尿路结石、输尿管梗阻;熟练开展经尿道前列腺等离子/激光剜除术治疗前列腺增生症和腹腔镜诊治泌尿系肿瘤。
出诊时间:周三上午,周六上午

陈双星,主治医师,硕士研究生,师从国际知名微创泌尿外科专家李逊教授。广东省泌尿生殖协会尿路修复重建分会委员、广东省泌尿生殖协会精准医学分会委员和广东省泌尿生殖协会激光医学分会委员。目前专功泌尿系结石、上尿路修复及泌尿系肿瘤的微创治疗。



