“医生,我的身体好像被撕开了!”38岁的庄先生被急救推床送入广医五院时,胸背部爆发的撕裂性剧痛已让他几近休克。监护仪显示血压呈“断崖式”下降,患者面色惨白、冷汗浸透衣衫,CT血管造影证实了最凶险的预判——主动脉夹层!这种被称为“血管炸弹”的急症,死亡率每小时递增1%,48小时存活率不足50%。
人体最粗大的主动脉此刻正经历致命撕裂:高压血流冲破血管内膜,在动脉壁中层形成“三明治”样假腔。更危急的是,影像显示夹层发现患者主动脉夹层血肿已累及左锁骨下动脉(LSA)开口处主动脉管壁,第一破口位于左颈总动脉(LCCA)后方17mm处(LSA开口处主动脉后壁),如同在生命主干道的关键枢纽埋下定时炸弹。
面对这场与死神竞速的抢救,心脏中心李龙虎教授团队当机立断,立刻实施急诊手术,在数字减影血管造影(DSA)的精准导航下,介入团队经股动脉建立毫米级通道,将记忆合金覆膜支架犹如“血管内伞”般精准锚定破口。手术台上演着“血管微雕”:既要完全封堵17mm的破口,又要确保锁骨下动脉血流通畅,每一个操作都需控制在毫米级精度。随着支架完美展开,造影显示假腔血流瞬间消失,真腔血流恢复通畅,历时2小时,快准狠地成功拆除“血管炸弹”,将庄先生转危为安!
不开刀拆弹,分体式分支型支架+裸支架精准解除主动脉威胁
经全面评估患者病情,李龙虎主任选择采用分体式分支型主动脉覆膜支架系统联合胸主动脉裸支架系统进行治疗,具有以下技术优势:
1、分体式单内嵌设计有效解决了累及LSA病变的锚定区不足问题,在保证充分锚定的同时完成LSA重建,有效解决了传统治疗中因LSA区域锚定区不足可能导致的逆行性夹层风险。相较于直筒支架开窗技术可能引发的支架远期移位风险,以及“烟囱”技术常见的“Gutter”内漏并发症,该治疗方案展现出更优的安全性和长期稳定性。
2、预置导丝设计配合近端束径和后释放技术,确保支架定位精准。
3、优化的释放机制使操作过程更为安全便捷。
4、裸支架能有效扩张远端真腔,恢复内脏及下肢动脉血流灌注。
在患者及家属同意下,李龙虎主任带领王冲冲、许业灏、连锦潘医生,历经2个小时,顺利完成了风险等级最高的四级手术,为患者进行了主动脉覆膜支架腔内隔绝术,同时重建左锁骨下动脉,外周血管路径缝合完好,无任何血肿并发症。具体手术过程如下:
病人平卧DSA手木床,常规消毒铺巾,局麻,分别穿刺右侧桡动脉、左侧股动脉。经右桡动脉导入5F PIG造影导管至主动脉弓行主动脉造影提示破口位于左侧锁骨下动脉开口后缘,夹层累及至右髂外动脉。左侧股动脉预埋2把血管缝合器,交换22F动脉鞘,沿加硬导丝通路送入胸主内嵌覆膜支架系统至主动脉弓部精确定位,将开窗与LSA平齐,释放主体支架,复查造影示支架贴壁良好、无内漏,LSA通畅未受累,再送分支支架系统释放,复查造影示支架定位准确,LSA开口稍受限,遂送入10*60m外周球囊扩张LSA开口,复查造影示支架塑形良好,分支通畅、无内漏,效果满意。沿导丝送入金属裸支架至降主动脉段衔接主体支架后释放,复查造影示支架贴壁良好,无内漏,分支无受累缝合左侧股动脉,手术过程顺利,术后患者安返病房。

术前CTA显示:夹层近端累及LSA开口处,远端累及至右髂动脉

术前DSA

沿导丝推送主体支架至预期位置,造影显示定位精准

成功释放主体支架

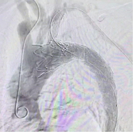
成功置入分支支架,造影显示支架塑形良好,无内漏,LSA血流通畅

远端置入裸支架

术后CTA
术后CTA显示:支架位置形态良好,无内漏,主体支架成功封堵主动脉夹层破口,分支支架重建LSA,LSA血流通畅,裸支架扩张远端真腔,手术效果满意。
我院心脏中心成立以来,不断开拓外周血管介入新技术,积极抢救急危重症患者,术中操作精益求精,极大地避免了手术并发症的发生。本例高难度复杂的四级手术,仅用2个小时顺利完成,术中成功处理了累及主动脉弓的胸主动脉覆膜支架术技术难点,标志着心脏中心治疗主动脉病变介入技术又上了一个更高层次,能熟练地开展复杂病变的主动脉覆膜支架植入术等高难度的手术。未来,心脏中心将继续秉持初心,不断探索,以更加精湛的技术和更加贴心的服务,守护每一位患者的心和血管健康。

心脏中心学科带头人
主任医师
博士生导师,国内心血管专业著名专家。先后担任空军总医院副院长,第四军医大学教授,解放军总医院老年心血管病研究所副所长、老年心内科主任等职务,共发表论文191篇,其中SCI收录6篇,PubMed/Medline收录7篇。
发表学术专著24部,主编10部。先后从事科研项目18项,其中国家973课题分题1项、国家十五重点课题分题2项、科技部支撑课题分题1项、国家自然科学基金面上课题1项、中国医药卫生基金专项课题1项、军队十一五科技攻关课题1项。
出诊时间:周一、周四上午

主任医师
医学博士、博士后、教授、硕士研究生导师、心血管内科副主任。国家自然科学基金项目评审专家。中国心脏联盟心血管疾病预防与康复专业委员会委员,广东省医学会心血管病学分会委员,中国大湾区心脏协会泛血管医学分会委员,广东省老年保健协会高血压专业委员会副主任委员,广州市医学会心血管病学分会常务委员,广州市血管外科医疗质量中心专家组成员。荣获第十届“羊城好医生”称号。
从事心血管及内科疾病的诊断与治疗工作20余年,对急性心肌梗死、心绞痛、急慢性心力衰竭、顽固性高血压、恶性心律失常及各种结构性心脏病的诊断、抢救和治疗有丰富的临床经验。擅长冠心病、肺血管病、外周血管病、先心病介入手术,在冠心病左主干、慢性闭塞、分叉、钙化病变等复杂高难度介入手术治疗领域有较深的造诣,2013年在世界上首创性地提出了冠心病分叉病变介入治疗BSKT新术式,目前该项技术在国内外被广泛使用。主持过国家自然科学基金、教育部留学归国人员启动基金、省自然科学基金等多项科研课题,已发表SCI论文及国家核心期刊30余篇,数篇以第一或通讯作者发表在国际权威杂志上,如《Circulation》《JACC》等杂志。
出诊时间:周二上午、周三全天



