时至金秋,天气转凉,昼夜温差加大,平时稳步健行的94岁周奶奶(化名)近1个月出现间歇性左下肢疼痛,步行时步履蹒跚如“跛行”,生活质量骤降。
在七名子女的陪伴下,周奶奶来到广医五院心血管内科门诊。李龙虎主任医师仔细检查发现,老人左下肢足背动脉搏动无法触及,初步诊断为“下肢动脉硬化性闭塞”,俗称“腿梗”,随即安排入院进一步治疗。
入院检查结果显示,周奶奶还存在高胆固醇血症。下肢动脉CTA影像提示其左下肢多处动脉存在严重狭窄或闭塞。如不及时进行血运重建,下肢远端、足部可能面临坏死甚至截肢风险。
高龄手术的三重挑战
面对如此高龄的患者,李龙虎主任及其团队面临着多重挑战:
患者血脂偏高,增加了手术难度和风险;94岁高龄老人身体机能减退,手术耐受性较差;患者血管闭塞段很长,涉及多节段动脉,这要求手术方案必须精准周密。
李龙虎主任组织团队全面评估患者情况,最终确定尽管风险高,但为了改善老人生活质量,避免截肢等严重并发症,有必要为患者实施下肢动脉介入手术。在与家属充分沟通后,医疗团队迎难而上。
精准手术打通生命通道
周奶奶被送入介入室,左下肢动脉造影结果证实了术前的判断:左股浅动脉中远段完全闭塞,并可见明显钙化影,同时左胫前动脉、左胫后动脉等多处血管也存在闭塞或严重狭窄。
李龙虎主任凭借丰富的介入手术经验,制定了分步手术策略:首先开通左股浅动脉改善大腿血流,然后开通左胫前动脉改善小腿及足部血流。
手术过程中,李主任精准操作导引导管和导丝,通过闭塞病变部位,先后使用球囊导管对狭窄段进行扩张。复查造影显示血管残余狭窄明显改善后,在股浅动脉中远段病变处由远及近串联植入支架。
揭秘手术全过程
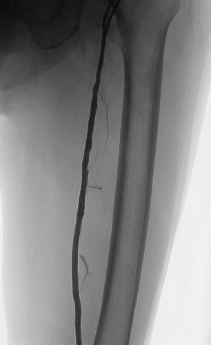
造影术中顺左股动脉走向穿刺,置入6F鞘管,造影提示“左股浅动脉中远段完全闭塞(图1),可见明显钙化影,左股深动脉可见侧枝至左腘动脉;左胫前动脉近段完全闭塞(图2),左胫后动脉开口完全闭塞,左腓动脉近段闭塞,左胫前动脉近段侧枝至左腓动脉中段,左腓动脉中段至足背动脉轻度狭窄,血流缓慢”。
术中李龙虎主任结合造影结果,实施了手术:开通左股浅动脉改善大腿血流,开通左胫前动脉改善小腿及足部血流。送入JR4.0 导引导管,泥鳅导丝多次尝试下可通过股浅动脉远段闭塞病变并送至胫前动脉闭塞病变前,交换V18导丝,先以5.0*150mm外周PTA Catheter扩张股浅动脉中远段病变(图3),复查造影见股浅动脉中远段病变残余狭窄明显改善,再多次尝试下V18导丝可通过胫前动脉闭塞病变至其远段,再送入3.0*150mm外周PTA Catheter由远及近预扩张胫前动脉(图4),复查造影示胫前动脉残余狭窄改善,再送2.530mm药物洗脱外周球囊至胫前动脉扩张释放药物(6atm180s), 复查造影示胫前动脉无明显残余狭窄(图5),血管无穿孔、夹层,远段血运良好。再送5.0*150mm外周PTA Catheter充分扩张股浅动脉中远段病变,再于股浅动脉中远段病变由远及近串联植入支架,复查造影示支架贴壁良好(图6),血管无穿孔、夹层,远段血运良好。术毕,退出鞘管,以血管缝合器缝合穿刺口,无菌方纱包扎,安返病房,术程顺利,病人无不适。术后左下肢足背动脉搏动良好,左下肢疼痛消失,无间歇性跛行。

图1 左股浅动脉中段闭塞

图2 左胫前动脉近段闭塞

图3 股浅动脉球囊扩张

图4 胫前动脉球囊扩张

图5 胫前动脉药物球囊扩张后

图6 股浅动脉支架植入后
整个手术过程顺利,术后,周奶奶左下肢足背动脉搏动良好,原本的左下肢疼痛消失,间歇性跛行症状也随之消失。
成功背后的团队与技术
此次手术的成功实施,充分体现了医院血管介入技术水平和高龄患者围手术期管理能力。心血管内科团队交出了一份满意的答卷,展现了处理复杂外周血管疾病的能力。
出院前查房时,周奶奶已经能下床活动了,李龙虎主任轻触周奶奶的左足背,有力的动脉搏动令人欣慰。“血管通路打通了,血流恢复良好,老人家很快就能正常行走了。”
科普时间
下肢动脉硬化性闭塞症是因下肢动脉(包括股动脉、腘动脉、胫前动脉、胫后动脉、腓动脉、足背动脉)发生粥样硬化,斑块逐渐增多导致血管狭窄或闭塞,引起下肢肌肉缺血甚至坏死的疾病。临床表现早期出现间歇性跛行,严重可进展为静息痛、溃疡或坏疽。引发下肢动脉硬化性闭塞症的危险因素包括糖尿病、吸烟、高血压及高脂血症,高脂血症为动脉粥样硬化的始动因素。下肢动脉硬化性闭塞症诊断可通过下肢动脉彩超、踝肱指数、下肢动脉CTA、下肢动脉造影等影像学检查确定。下肢动脉硬化性闭塞症的预防关键在于生活方式干预,包括戒烟、低盐低脂低糖饮食、适量运动、定期检查血糖血脂。其治疗措施分为药物保守治疗(控制血脂、血糖、血压)与手术治疗。手术方案有外科手术(血管旁路术)和介入治疗(血管腔内成形术)两类方案。
术后李主任谈及这位高龄老奶奶的病情,表示:患者左下肢血管造影提示下肢血流非常稀疏,很容易导致下肢缺血坏死,万一发生,则要面临截肢甚至生命危险,若非就诊及时、冒着较大风险尽早手术,结果不一定如此乐观。此次,心血管内科二区介入团队在李龙虎主任的带领下顺利完成高龄高难度外周血管介入手术,不仅为周奶奶保住了肢体,更标志着广医五院心脏中心的复杂高危外周血管疾病介入技术更加熟练精湛,已然成为常规技术,为大湾区更多患者的生命健康提供了坚实有力的保障。
专家介绍

卢才义
心脏中心、心血管内科主任
主任医师
博士生导师
教授,心脏中心学科带头人,主任医师,博士生导师,国内心血管专业著名专家。先后担任空军总医院副院长,第四军医大学教授,解放军总医院老年心血管病研究所副所长、老年心内科主任等职务,共发表论文191篇,其中SCI收录6篇,PubMed/Medline收录7篇。发表学术专著24部,主编10部。先后从事科研项目18项,其中国家973课题分题1项、国家十五重点课题分题2项、科技部支撑课题分题1项、国家自然科学基金面上课题1项、中国医药卫生基金专项课题1项、军队十一五科技攻关课题1项。
出诊时间:每周二、周四上午。

李龙虎
心血管内科副主任
主任医师
医学博士
博士后、教授、硕士研究生导师、心血管内科副主任。国家自然科学基金项目评审专家。中国心脏联盟心血管疾病预防与康复专业委员会委员,广东省医学会心血管病学分会委员,广东省医师协会心脏重症专业委员会常务委员,中国大湾区心脏协会泛血管医学分会委员,广东省老年保健协会高血压专业委员会副主任委员,广州市医学会心血管病学分会常务委员,广州市血管外科医疗质量中心专家组成员。荣获第十届“羊城好医生”称号。
从事心血管及内科疾病的诊断与治疗工作20余年,对急性心肌梗死、心绞痛、急慢性心力衰竭、顽固性高血压、恶性心律失常及各种结构性心脏病的诊断、抢救和治疗有丰富的临床经验。擅长冠心病、肺血管病、经皮主动脉瓣置换(TAVI)、外周血管病、先心病等介入手术,在冠心病左主干、慢性闭塞、分叉、钙化病变等复杂高难度介入手术治疗领域有较深的造诣,2013年在世界上首创性地提出了冠心病分叉病变介入治疗BSKT新术式,目前该项技术在国内外被广泛使用。主持过国家自然科学基金、教育部留学归国人员启动基金、省自然科学基金等多项科研课题,已发表SCI论文及国家核心期刊30余篇,数篇以第一或通讯作者发表在国际权威杂志上,如《Circulation》《JACC》等杂志。
出诊时间:周二上午、周三全天。
医生介绍

王冲冲
心血管内科
主治医师
广东省医师协会心脏重症医师分会委员,熟练掌握心血管内科危重症抢救治疗,擅长心血管危重症处理,从事心血管疾病的诊疗工作、科研、教学10余年。曾在阜外心血管病医院访问学者,在广东省人民医院进修心律失常介入,参与广医五院胸痛中心建设。掌握冠心病介入治疗、心律失常射频消融术、永久起搏器置入术、左心耳封堵术,同时有参与主动脉介入手术、外周血管(下肢动脉闭塞、下肢静脉血栓、肾动脉)介入治疗的经历。
供稿/心血管内科



