□文/图 耳鼻咽喉头颈外科赵耀新、张建中
人们常说“患难见真情”,最近,广医五院耳鼻咽喉科有一对特殊的患难夫妻,成为医护人员间口口相传的爱的大爱模范。今天,且听五院君为您说说这个爱的故事。
来自黄埔长洲岛的吴叔是不幸的, 13年前一次车祸,导致他颅脑重创,形成一直瘫痪在床的植物人状态。
十几年来他一直瘫痪在床,导致生活不能自理,常年卧床,照顾丈夫和支撑整个家庭的重担就落在了妻子宋大姐一个人身上。
这段爱与艰辛同行的路程上,大姐却始终不离不弃,精心呵护,挑起沉重的生活负担,独立养育2个的孩子,赡养年迈的老人。13年来,吴叔的一切都改变了,然而唯一没有改变就是夫妻俩之间相濡以沫的爱。
瘫痪丈夫罹患鼻窦炎 就医之路屡屡碰壁
然而最近,吴叔的身体问题却一直困扰着宋大姐。2年前,宋大姐发现丈夫开始频发的、逐渐的张口呼吸,而且喉咙里痰音明显,并且发热次数增多。经宋大姐请来的社区家庭医生初步诊断,导致吴叔张口呼吸的原因为:双侧鼻腔长满了息肉,并且有严重的鼻窦炎。
而正是因为长期张口呼吸,吴叔频发的发生吸入性肺炎。要解决吴叔张口呼吸的情况,通过手术治疗鼻窦炎、鼻息肉是较为可行和有效办法。可是,吴叔特殊的身体状况却让人十分为难:无意识的植物人状态、长期卧床,心、肺功能均比正常人下降许多,吴叔能否耐受全麻手术?术后护理及复查如何解决呢?众多的制约条件,导致吴叔的就医之路屡屡碰壁。
无惧意外横生 五院医护为爱奋力前行
辗转就医之时,宋大姐慕名得知广医五院耳鼻咽喉科,并委托社区医生,与耳鼻咽喉科张建中副主任医师取得联系。
在听说了宋大姐为13年来如一日细心照料丈夫、不离不弃的感人故事,张主任深受感动,表示愿意承受压力,为吴叔行手术治疗。
不久后,吴叔顺利的来到广医五院新大楼12楼耳鼻咽喉科崭新宽敞明亮,设备齐全的病房住院。在常规的术前检查中发现,在宋大姐精细的照顾下,尽管吴叔以植物人状态瘫痪在床上已经有13年了,但身体各项指标都基本正常。更难能可贵的是,吴叔全身皮肤没有一处褥疮及溃烂!这令全体医护人员都十分感动。

△宋大姐精心照顾吴叔
张主任带领耳鼻咽喉科医护团队在经过周密的手术期治疗计划制定和精心的术前准备后,在与麻醉科、呼吸内科、心血管内科、ICU、医学影像科等相关科室联合会诊,在术前详细阅读鼻窦CT片时,却发现吴叔鼻腔、鼻窦解剖异常,追问病史才知道吴叔在车祸前曾做过鼻腔鼻窦手术。
在了解到这一特殊情况后,科室全体医护人员紧急讨论,再次制定吴叔的详细治疗方案及应急措施,并详细和宋大姐沟通解释术后可能出现的问题及处理方法。在了解到手术的难度和术后可能出现的情况后,宋大姐依然选择相信医院和医生。
手术顺利 患者重获自在呼吸
一切准备就绪,手术当天,麻醉科赵年章主任负责主麻,耳鼻咽喉科张建中副主任全程操刀。尽管吴叔的强迫体位及手术病史,大大增加了手术难度,但手术中大家认真处理了每个细节,手术进行十分顺利,术中出血量仅约20ml。

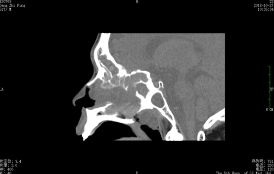
△吴叔术前CT矢状位图
期间,吴叔的麻醉平稳,顺利复苏后,安返病床。术后2天,张建中副主任在吴叔床边,亲自为吴叔取出鼻腔的部分填塞物。吴叔的张口呼吸情况大为改善,可以顺利的经鼻呼吸。宋大姐激动的连连答谢,眼角溅出久违的高兴泪花。
面对宋大姐的万分感谢之情,五院医护人员却表示,宋大姐对患病丈夫不离不弃的爱情更是让大家深受感动和倍感教育。为爱感动,传递真情。五院人坚信人间有爱,我们都是在爱心道路上奔跑的人,我们愿意为爱助力!



